International clinic for the whole family
first Russian-Serbian clinic in Belgrade
Facts about us:
Services & prices
Our results
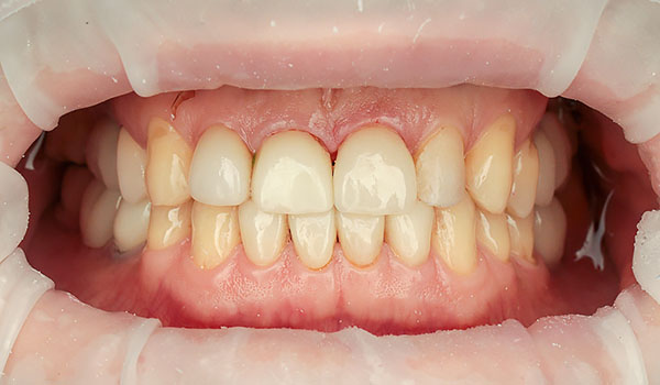
Case 1
Before:
Didn't like the shape and color of the teeth, some crowns chipped in the same places.
After:
We selected a new tooth shape using a wax-up of the future smile. Carefully removed all old veneers and crowns. Fixed new restorations (veneers and zirconia crowns on implants in the chewing areas). Treatment duration: 3 months.
Dental tourism
Our team
Gladović Ivana
dentist-therapist
Education: Faculty of Dental Medicine, dentist. Clinic for children's and preventive dentistry, volunteer dentist. In Serbia, confirmed dental license.<br>Work experience since 2020.
...more
Gladović Ivana
dentist-therapist
Education:Faculty of Dental Medicine, dentist. Clinic for children's and preventive dentistry, volunteer dentist. In Serbia, confirmed dental license.
Work experience since 2020.
- caries treatment with modern photopolymer materials
- endodontic treatment with micro-mechanical and medicamentous protocols
- professional dental cleaning
- individual selection of hygiene products and training of proper home care
- prevention and treatment of gum diseases
- work with increased tooth sensitivity, selection of remineralizing therapy
- aesthetic restoration with composite materials of the latest generation
- treatment planning and execution based on digital X-ray and 3D scanning
Elena Palkina
therapist dentist, chief doctor, orthopedic dentist
Education: Pavlov First Saint Petersburg State Medical University, 'dentist', specialty 'therapeutic dentistry', 'orthopedic dentistry', 'surgical dentistry', 'healthcare organization in Russia'. In Serbia, confirmed temporary dental license.<br>Work experience since 1999.
...more
Elena Palkina
therapist dentist, chief doctor, orthopedic dentist
Education:Pavlov First Saint Petersburg State Medical University, 'dentist', specialty 'therapeutic dentistry', 'orthopedic dentistry', 'surgical dentistry', 'healthcare organization in Russia'. In Serbia, confirmed temporary dental license.
Work experience since 1999.
- comprehensive patient management with orthodontist and surgeon
- 3D scanning and digital smile design
- work under magnification with loupes
- caries treatment with infiltration and photopolymer materials
- endodontic filling with modern materials
- diagnosis and treatment of gum diseases (periodontitis, gingivitis)
- prevention and treatment of oral diseases with an individual approach.
Artem Matveev
dentist-surgeon, implantologist
Education: Pavlov First Saint Petersburg State Medical University, residency in maxillofacial surgery, 'surgical dentistry'. In Serbia, confirmed dental license.<br>Work experience since 2020.
...more
Artem Matveev
dentist-surgeon, implantologist
Education:Pavlov First Saint Petersburg State Medical University, residency in maxillofacial surgery, 'surgical dentistry'. In Serbia, confirmed dental license.
Work experience since 2020.
- implantation with Nobel, Straumann, Osstem, Astra Tech
- bone grafting with autogenous and allogenic materials
- minimally invasive implantation with computer navigation
- sinus lifting and maxillary sinus elevation
- restoration with All-on-4 and All-on-6 methods
- microsurgery
- TMJ diagnostics with CT and 3D scanners
- digital surgery planning
Simić Borisav
dentist, hygienist
Education: Faculty of Dental Medicine, University of Belgrade, residency in 'Oral Surgery'. General practice dentist. In Serbia, confirmed dental license.<br>Work experience since 2023.
...more
Simić Borisav
dentist, hygienist
Education:Faculty of Dental Medicine, University of Belgrade, residency in 'Oral Surgery'. General practice dentist. In Serbia, confirmed dental license.
Work experience since 2023.
- professional dental cleaning
- tartar removal with ultrasonic scalers
- oral disease diagnostics with digital technologies
- prevention of dental and gum diseases
- teeth whitening with laser technologies
Ekaterina Serdyukova
orthopedic dentist
Education: Moscow State University of Medicine and Dentistry, 'dentist', specialty 'therapeutic dentistry', 'orthopedic dentistry', 'surgical dentistry'. In Serbia, confirmed temporary dental license.<br>Work experience since 2005. Residency in orthopedic dentistry MSUMD 2008.
...more
Ekaterina Serdyukova
orthopedic dentist
Education:Moscow State University of Medicine and Dentistry, 'dentist', specialty 'therapeutic dentistry', 'orthopedic dentistry', 'surgical dentistry'. In Serbia, confirmed temporary dental license.
Work experience since 2005. Residency in orthopedic dentistry MSUMD 2008.
- prosthetics with ceramic crowns and bridges
- restoration with implants and All-on-4 method
- treatment and restoration with endodontic methods
- CAD/CAM for prosthetics
- TMJ diagnostics and deprogramming
- complex restoration with implants and crowns
- smile restoration with veneers and lumineers
- removable and fixed prosthetics
Anna Firsova
children's dentist, orthodontist
Education: Moscow State University of Medicine and Dentistry, Tver State Medical University, 'dentist', specialization 'dentistry', 'children's dentistry'. In Serbia, confirmed temporary dental license.<br>Work experience since 2017.
...more
Anna Firsova
children's dentist, orthodontist
Education:Moscow State University of Medicine and Dentistry, Tver State Medical University, 'dentist', specialization 'dentistry', 'children's dentistry'. In Serbia, confirmed temporary dental license.
Work experience since 2017.
- bite correction and teeth alignment in children with braces
- clear aligners for teens
- TMJ anomaly diagnostics and treatment in children
- orthodontic appliance selection for age features
- disease prevention in children
- fluoridation and sealing of milk teeth
- malocclusion treatment with braces
- teeth alignment with clear aligners
Dražic Ivana
therapist dentist, children's dentist
Education: Faculty of Dental Medicine, dentist. Clinic for children's and preventive dentistry, volunteer dentist. In Serbia, confirmed dental license.<br>Work experience since 2018.
...more
Dražic Ivana
therapist dentist, children's dentist
Education:Faculty of Dental Medicine, dentist. Clinic for children's and preventive dentistry, volunteer dentist. In Serbia, confirmed dental license.
Work experience since 2018.
- caries treatment with modern photopolymer materials
- filling with minimal tissue processing
- professional dental cleaning
- gum disease prevention
- pulpitis and periodontitis treatment with endodontic methods
- aesthetic restoration with composite materials
- treatment planning and execution based on digital X-ray and 3D scanning
Nadezhda Khromova
dentist-therapist
Education: Penza State University, Federal Medical Biophysical Center named after A.I. Burnazyan, Moscow.<br>Work experience since 2020.
...more
Nadezhda Khromova
dentist-therapist
Education:Penza State University, Federal Medical Biophysical Center named after A.I. Burnazyan, Moscow.
Work experience since 2020.
- Primary and repeated endodontic treatment considering complex root canal anatomy
- Treatment of cysts and granulomas with modern methods and materials
- Post-endodontic tooth restoration for further prosthetics
- Comprehensive approach: restoration of chewing function and smile aesthetics
- Preparation of teeth for crowns, inlays and other orthopedic structures
- Use of magnification (loupes/microscope) for precise and gentle work
- Work with modern biocompatible materials
- Planning and treatment based on digital diagnostics (X-ray, CBCT)
Valeria Sivko
children's dentist
Education: Specialist diploma, specialty 'Dentistry', Moscow State University of Medicine and Dentistry named after A.I. Evdokimov, with honors. Residency diploma, specialty 'Pediatric Dentistry', Moscow State University of Medicine and Dentistry named after A.I. Evdokimov.<br>Work experience since 2019.
...more
Valeria Sivko
children's dentist
Education:Specialist diploma, specialty 'Dentistry', Moscow State University of Medicine and Dentistry named after A.I. Evdokimov, with honors. Residency diploma, specialty 'Pediatric Dentistry', Moscow State University of Medicine and Dentistry named after A.I. Evdokimov.
Work experience since 2019.
- Fissure sealing of milk and permanent teeth
- Caries treatment of milk and permanent teeth with biocompatible materials
- Pulpitis treatment of milk teeth with a gentle approach
- Extraction of milk teeth when indicated
- Placement of pediatric crowns for function and aesthetics
- Work under magnification — precise and delicate dentistry thanks to special optics
- Use of rubber dam (soft isolation) — clean and comfortable treatment
- Modern technologies and approach based on trust, comfort and safety of the child
Dmitry Potehin
dentist-therapist, surgeon, orthopedist
Education: Moscow State University of Medicine and Dentistry. Clinical residency at the Department of Hospital Orthopedic Dentistry. Primary specialization in surgical dentistry. Primary specialization in therapeutic dentistry.<br>Work experience since 2000.
...more
Dmitry Potehin
dentist-therapist, surgeon, orthopedist
Education:Moscow State University of Medicine and Dentistry. Clinical residency at the Department of Hospital Orthopedic Dentistry. Primary specialization in surgical dentistry. Primary specialization in therapeutic dentistry.
Work experience since 2000.
- Primary and repeated endodontic treatment considering complex root canal anatomy
- Treatment of cysts and granulomas with modern methods and materials
- Post-endodontic tooth restoration for further prosthetics
- Comprehensive approach: restoration of chewing function and smile aesthetics
- Preparation of teeth for crowns, inlays and other orthopedic structures
- Use of magnification (loupes/microscope) for precise and gentle work
- Work with modern biocompatible materials
- Planning and treatment based on digital diagnostics (X-ray, CBCT)
Strahinja Ilić
dentist-surgeon, implantologist
Education: Faculty of Medical Sciences in Kragujevac, specialization in oral surgery and implantology.<br>Work experience since 2022.
...more
Strahinja Ilić
dentist-surgeon, implantologist
Education:Faculty of Medical Sciences in Kragujevac, specialization in oral surgery and implantology.
Work experience since 2022.
- Dental implant placement, including bone grafting and sinus lifting
- Complex surgical tooth extractions, including impacted and displaced teeth
- Treatment of oral and soft tissue diseases (cysts, granulomas, benign formations)
- Preparation for prosthetics and orthodontics, including frenulum plastic surgery and removal of interfering elements
- Work under magnification — accurate and gentle, with minimal trauma
- Use of modern equipment: 3D scanning, digital X-ray, quality biomaterials
- Ensuring comfortable and safe anesthesia, healing control and patient support after surgery
- Individual treatment planning considering health, situation and patient wishes
Aleksandrina Bruma
orthodontist
Education: Moscow State University of Medicine and Dentistry named after Evdokimov, residency in orthodontics.<br>Work experience since 2019. Clinical specialist and project manager for aligners. Moscow, Skolkovo Science Center. Author of research for FDA certification of aligners, USA. Work with TMJ and complex biomechanics on braces.
...more
Aleksandrina Bruma
orthodontist
Education:Moscow State University of Medicine and Dentistry named after Evdokimov, residency in orthodontics.
Work experience since 2019. Clinical specialist and project manager for aligners. Moscow, Skolkovo Science Center. Author of research for FDA certification of aligners, USA. Work with TMJ and complex biomechanics on braces.
- Diagnosis and treatment of various bite disorders in children, adolescents and adults
- Individual treatment planning considering anatomical features and aesthetic goals
- Use of various bracket systems: metal, ceramic, sapphire, lingual
- Orthodontic treatment with aligners, including planning, control and correction of stages
- Preparation of dental arches for implantation, prosthetics and surgery
- Correction of jaw growth in children using removable and non-removable appliances
- Comprehensive patient support at all stages of treatment with regular result control
- Interaction with other specialists (therapists, surgeons, orthopedists) for long-term results
How to start?
Online consultation with a doctor:
We offer a free online consultation so you can learn all the details and plan your treatment in advance.
Our clinic
Belgrade, Deligradska, 6
























